The cheapest way to replace teeth is probably dentures, having said that, the options for missing teeth replacement will depend heavily on where they are missing, how long since they were lost or extracted, how much money you have to spend, and whether you want long term or short term results.
In general, your options to replace missing teeth boil down to dentures, bridges or dental implants, whilst each treatment has its benefits there are potential downsides.
For the cheapest way to replace teeth in Hungary contact Fintan on 0873490104, at Hungarian Dental Implant Centre Wexford town and our sister clinic Perfect Smile in Hodmezovasarhely Hungary.
1. Dentures:
For those seeking a more budget-friendly option, dentures are usually the cheapest way to replace teeth, they can be a suitable choice for many as a tooth replacement.
Dentures come in partial or full sets and are custom-made to fit securely and maintain functionality.
While dentures may not offer the same level of permanence as dental implants, they provide a more accessible solution for individuals looking for a cost-effective tooth replacement option.
A denture is a removable appliance that a dentist can use to replace some of your missing teeth or all of them, they consist of a plastic base that acts as a support for prosthetic or artificial teeth.
Dentures help patients to speak and eat more easily as they fit snugly over the gums, in addition they can help to improve how you smile.
Two types
Dentures are available in two types, partial or complete, partial are used in a situation where there are still natural teeth in the gum, complete dentures are the choice as the cheapest way to replace missing teeth when there are no teeth at all.
Dentures are kept in place by a suction method or a dental adhesive may be user, they are removed each night to allow your mouth to test, they need to be cleaned every day with a denture cleaner, dentures do take some time to get used to.
Most patients get used to them within a few weeks.
So let’s look at the advantages of dentures.
- Cheapest way to replace teeth (From €350-€900)
- Help with chewing and eating food
- Help with speaking
- Help to improve your smile
- Easily taken out and put back in
- No issues with gum disease or cavities
The disadvantages of dentures
- Not very comfortable
- Takes time to adjust, some patients never adjust completely
- They need special care and cleaning
- Not always good for eating certain foods
- Can cause speech difficulties
- Need replacement every few years
- They never look or feel like natural teeth
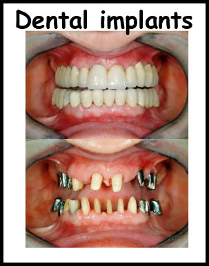
2. Dental implants
Dental implants are not top of the list when it comes to the cheapest way to replace teeth, having said that they are a very strong foundation made from titanium that a dental surgeon will insert into the jawbone with an abutment screwed in and a prosthetic crown that looks exactly like your natural teeth placed on top.
Even though they are definitely not the cheapest way to replace teeth they are very much a permanent way to replace teeth that are missing, if you look after them properly it’s possible that they could last forever. A large number of studies have shown that dental implants are a long term proven safe and effective way to replace missing teeth.
Advantagee of dental implants
- Rock solid secure tooth restoration
- Just like natural teeth
- Fuse with the jawbone
- They look amazing
- Chewing, eating and smiling feels effortless
- Proven long term answer for missing teeth
- 95% success rate
- Safe procedure
- Can last a lifetime with proper care
Disadvantages of dental implants
- Very costly ( In Ireland prices from €1,500-€2,500)
- Many months involved in the treatment
- Surgery required
- May require bone grafting
- May require root canal treatment
- Risk of infection
3. Dental bridge
A dental bride whilst not being the cheapest way to replace teeth can be useful in a situation where the dentist needs to bridge a gap between some teeth, they are prosthetic device that are made to fit over healthy teeth.
A dental bridge is typically made of two dental crowns that are placed on an abutment tooth or implant on either side of the gap in the teeth, the dental bridge can be made from various materials such as porcelain, porcelain fused to metal, silver or gold.
Advantages of a dental bridge
- They look great
- They don’t move unlike dentures
- They protect and strengthen teeth
- They are durable
- Relatively quick procedure
- Less invasive compared to implants
Disadvantages of a dental bridge
- Expensive (In Ireland prices start at €1,900 porcelain fused to metal)
- Teeth have to be filed down
- Nerves may be damaged
- Long time procedure
- Can collect plaque
- Difficult to clean
For the cheapest way to replace teeth in Hungary contact Fintan on 0873490104, at Hungarian Dental Implant Centre Wexford town and our sister clinic Perfect Smile in Hodmezovasarhely Hungary.
4. All on 4 dental implants
Again, whilst not being the cheapest way to replace teeth, all on 4 dental implants can reduce the cost of implants by using just 4 dental implants to support a full denture.
All-on-4 dental implants have gained popularity as a convenient and efficient solution for replacing missing teeth. Hungary, renowned for its dental tourism industry, offers competitive prices for dental treatments.
This article aims to evaluate the cost-effectiveness of All-on-4 dental implants as a solution for tooth loss in Hungary.
Cost Comparison Ireland versus Hungary
When comparing the cost of All-on-4 dental implants in Hungary to other countries, Hungary typically offers more affordable options, certainly if you are looking at all on 4 dental implants cost in Ireland they are not the cheapest way to replace teeth.
However, while prices may vary depending on the specific case and dental clinic, Hungary often provides a cost advantage due to lower labor and operation expenses.
Contact Fintan on 0873490104 to find out more about the cheapest way to replace missing teeth in Hungary
Savings on procedure:
The All-on-4 dental implant technique is designed to maximize the use of available bone, minimizing the need for bone grafting. This reduces both the complexity and cost of the procedure compared to traditional implant methods requiring extensive grafting procedures. Therefore, the overall cost of treatment is significantly reduced.
Efficient treatment timeline:
All-on-4 dental implant treatment typically requires fewer visits to the dentist, which can lead to additional cost savings, particularly for those who travel from abroad.
The simplified treatment timeline, from implant placement to prosthetic attachment, allows patients to get their fixed teeth much faster compared to other alternatives, resulting in fewer expenses related to accommodation and travel.
Long-term cost savings:
All-on-4 dental implants offer a long-term but not the cheapest way to replace teeth, solution for missing teeth that is both functional and aesthetically pleasing.
The high success rate of this treatment reduces the need for frequent replacements or repairs, thereby minimizing future costs associated with maintenance, denture adhesives, or potential deterioration of adjacent teeth.
Replacing teeth the cheapest way
Replacing teeth is going to cost you money especially if you want a long term solution, we know that dentures are without doubt the cheapest way to replace teeth but are they the best way over the longer term.?
However, seeking dental treatment abroad, such as in Hungary, can offer significant cost savings without compromising on quality. In this article, we will explore the most affordable methods of replacing teeth and the advantages of traveling to Hungary for dental treatment.
For the cheapest way to replace teeth in Hungary contact Fintan on 0873490104, at Hungarian Dental Implant Centre Wexford town and our sister clinic Perfect Smile in Hodmezovasarhely Hungary
Advantages of traveling to Hungary for dental treatment:
1. Cost savings:
Hungary has established itself as a leading destination for dental tourism, primarily due to its significantly lower treatment costs compared to many Western countries.
By traveling to Hungary, patients can save as much as 40-70% on their dental treatments, making it an attractive option for cost-conscious individuals seeking affordable tooth replacement solutions.
2. High-quality dental care:
Hungary has earned a reputation for its exceptional dental care standards.
The country boasts a large number of skilled dental professionals, many of whom have undergone training abroad and possess qualifications recognized globally. Hungarian clinics utilize state-of-the-art technology and adhere to strict hygiene protocols, ensuring patients receive top-notch dental treatment.
3. Seamless experience:
Dental clinics in Hungary often offer comprehensive travel packages, which include treatment costs, accommodation, and transportation arrangements.
These packages are designed to provide patients with a seamless experience, making it easier to plan and execute their dental journey. The clinics also usually have multilingual staff who assist patients throughout their treatment and ensure that language barriers are surmounted.
Conclusion on cheapest way to replace teeth
In conclusion on the cheapest way to replace teeth, we gave established that dentures are the most suitable, however if you are open-minded and willing to look at cheaper dental treatments then why not take a closer look at Hungary.
In Hungary, All-on-4 dental implants provide a cost-effective solution to replace missing teeth. The competitive pricing, savings on procedure, efficient treatment timeline, and long-term cost savings make it an attractive option for individuals seeking affordable dental treatments.
While the cost-effectiveness or the cheapest way to replace teeth should not be the sole determinant in choosing a dental solution, it is an important factor to consider alongside other aspects such as quality, expertise, and patient satisfaction.
Consulting with a qualified dental professional can help determine if All-on-4 dental implants are the right choice based on individual needs and circumstances
Replacing missing teeth can be affordable and of high quality when opting for dental treatment abroad. Hungary’s dental industry is renowned for delivering cost-effective dental solutions without compromising excellence.
By considering dental implants, dentures, or bridge work, combined with the advantages of traveling to Hungary for treatment, individuals can achieve a cost-effective and long-lasting tooth replacement option while enjoying the benefits of dental tourism.
References
https://www.ncbi.nlm.nih.gov/pmc/articles/PMC4147803/




